Магнитно-резонансная томография (МРТ) вен головного мозга является важным методом диагностики различных заболеваний центральной нервной системы. Эта процедура позволяет получить детальные изображения венозной системы головного мозга, что помогает в выявлении различных патологий.












МРА (магнитно-резонансная ангиография)

Тромбоз синуса ангиография



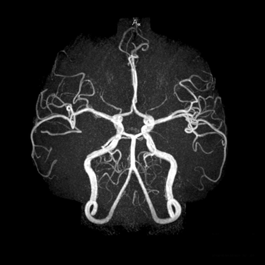
Ангиография виллизиевого круга




Окклюзия передней мозговой артерии мрт





МРА (магнитно-резонансная ангиография)






Тромбоз внутренней сонной артерии мрт
МРА (магнитно-резонансная ангиография)








Стеноз позвоночной артерии мрт





Магнитно-резонансная томография сосудов

Мрт головы


Компьютерная томография

Thrombosis of Axial Sinus MRI


Мрт орбит и зрительных нервов


Компьютерная томография



:max_bytes(150000):strip_icc()/stroke-resized-56a2f57c5f9b58b7d0cfdf77.jpg)




Ангиография сосудов сонной артерии







Микроинсульт томография






Кт ангиография брахиоцефальных сосудов




Базивертебральная Вена мрт


Базивертебральная Вена мрт


Снимок мрт головы здорового человека



Бош Мия томография



Магнитно-резонансная томография (мрт)











Микроангиопатия кт


Ишемический инсульт мрт

Как делают мрт

Процедура МРТ вен головного мозга
Процедура МРТ вен головного мозга проводится с использованием сильного магнитного поля и радиоволн. Пациенту необходимо лечь на стол томографа, после чего стол постепенно перемещается внутрь томографа. Во время процедуры важно оставаться неподвижным, чтобы получить четкие изображения.
Похожие стать: